General Practice in Dentistry

General Practice in Dentistry

General dental practice encompasses a wide range of services aimed at maintaining oral and dental health, with a focus on prevention and early treatment. Through regular check-ups and professional cleanings, patients can avoid many dental issues that might otherwise require complex interventions. General dental care includes teeth cleaning, cavity treatment, gum care, teeth whitening, and other procedures designed to maintain long-term oral health.

The specialized doctors

Dr. Ahmed Mostafa

Dr. Ghada Ghonim

Dr. Rolana Kabil

Dr. Mahmoud Abdelghaffar

Dr. Mona Moussa

Smile Transformations

Before After

Frequently Asked Questions

Professional teeth cleaning is essential for maintaining oral health and preventing plaque and tartar buildup, which can lead to gum disease and tooth decay. There are two main types of teeth cleaning:

1.Normal Cleaning with Ultrasonic Scaling and Polishing:

  • Ultrasonic Scaling: Uses high-frequency sound waves to effectively remove plaque and tartar from the tooth surface. This technique is painless and provides quick, precise cleaning, reducing the risk of gum or tooth damage.
  • Polishing: After tartar removal, the teeth are polished using a special paste to leave the surface smooth and shiny. This reduces future plaque buildup and enhances the brightness of the teeth.

2.Deep Cleaning with Ultrasonic Scaling, Air Flow, and Polishing:

  • Air Flow: A device that uses a combination of air, water, and a special powder to remove plaque and stains from between the teeth and along the gum line. It is an excellent choice for removing stubborn stains and deposits in hard-to-reach areas.
  • Deep Cleaning: Recommended when there is significant tartar buildup beneath the gums or between the teeth. This helps prevent gum disease and contributes to overall oral health.

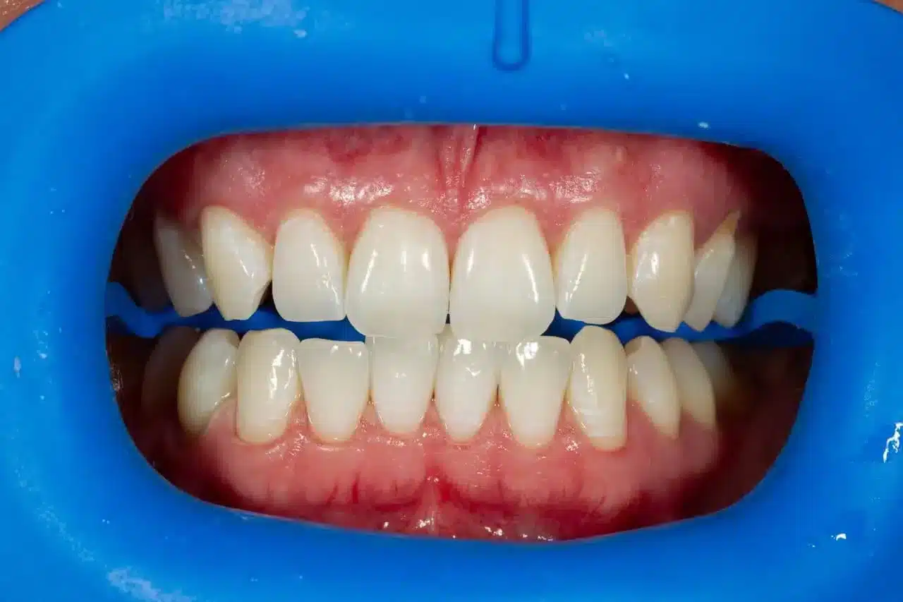
Teeth whitening is a popular procedure in general dental practice to enhance the appearance of the smile. The Flash German whitening system is an advanced technology that offers safe and effective teeth whitening. This system uses specialized light technology to activate whitening agents, providing faster results compared to traditional methods. Flash whitening effectively removes stains caused by food, beverages, and smoking, giving teeth a naturally brighter appearance in a short period.

At F Dental Center, we utilize advanced techniques and high-quality materials to ensure that every patient receives the best possible dental care. Through regular cleanings and professional whitening treatments, we help you maintain a healthy and beautiful smile. We are committed to providing personalized service to ensure our patients’ comfort and achieve outstanding results.

General dentistry encompasses a wide range of preventive, diagnostic, and restorative dental services. These include routine checkups, teeth cleanings, fillings, fluoride treatments, gum care, and early detection of oral issues such as cavities, gum disease, or oral cancer. General dentists serve as the primary dental care providers for patients of all ages.

Most patients should visit the dentist every six months for a routine exam and cleaning. However, those with higher risk factors—such as gum disease, diabetes, or a history of frequent cavities—may need more frequent visits. Your dentist will recommend a schedule tailored to your individual needs.

A professional dental cleaning removes plaque and tartar buildup that cannot be removed by regular brushing and flossing. Cleanings help prevent cavities, gum disease, and bad breath. They also allow your dentist to spot any early signs of oral issues, making them a key component of preventive dental care.

General dentistry provides a broad range of services focused on preventive and routine care. Specialized dentistry, on the other hand, addresses more complex or specific dental needs—such as orthodontics, endodontics (root canals), or prosthodontics (restorations). General dentists often refer patients to specialists when advanced care is needed.

Dr. Ahmed Mostafa

Playlist

4 Videos

Dr. Ghada Ghonim

Playlist

4 Videos

Dr. Rolan Kabil

Playlist

1 Videos

Dr. Mahmoud Abdelghaffar

Playlist

3 Videos

Dr. Eman Badr

Playlist

4 Videos